内容来源:石家庄苏亚美联臣精品美容牙科 2017-08-10
姓名:丁女士
年龄:35岁
主诉:右侧后牙自发痛2天
现病史:患者诉右侧后牙自发性放射痛2天,一年前曾充填治疗,数月前充填物脱落,故来诊。
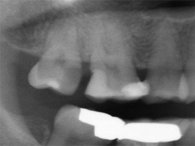
检查:17 MO龋损,叩:(-),探:(+),冷测持续疼痛,牙周无红肿。X-ray示:龋损近髓腔,根尖无阴影。
治疗方案:根管治疗。
治疗过程:WAVE ONE根管扩挫,CAD/CAM全瓷嵌体修复。
病例操作过程分享

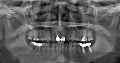
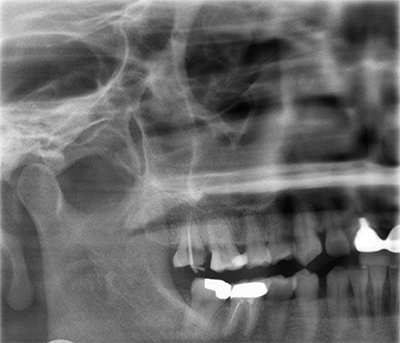
术前X-ray

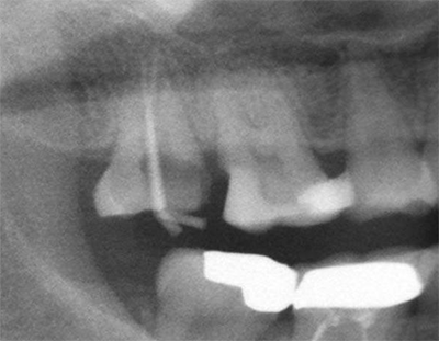
术前X-ray局部放大图

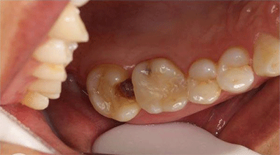
术前照

术前显微镜影像

术前显微镜影像

术前显微镜影像

术中显微镜检查

术中显微镜检查
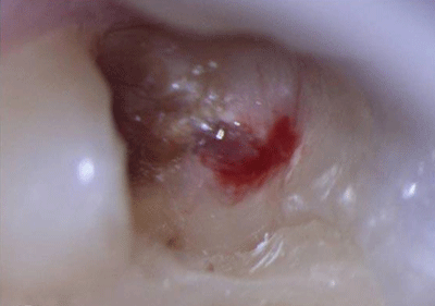
注1:黄褐色为龋损牙体组织。
2:红色为出血点为牙髓组织(俗称牙神经),去腐未净时牙髓组织外露。


术中显微镜根管探查

术中显微镜根管探查

术中显微镜根管探查
显微根管治疗器械的应用,能够更清楚地看到髓腔根管系统的细微结构,使临床操作更准确,手术视野更清晰,治疗成功率更高!

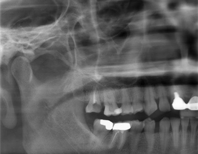
术中X-ray 测试根管长度

术中X-ray 局部放大图

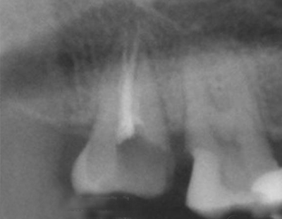
术中X-ray 热牙胶根充片

术中X-ray 热牙胶根充片 局部放大图

CAD/CAM全瓷嵌体个性化设计

光学取模

生物再造软件生成牙体形态

CAD/CAM 3D打印全瓷嵌体

术后CAD/CAM全瓷嵌体修复

术后CAD/CAM全瓷嵌体修复