内容来源:石家庄苏亚美联臣精品美容牙科 2017-08-10

患者:田先生,32岁,主因右上后牙曾行牙髓治疗要求冠修复就诊。
检查:大面积银汞充填,叩痛,不松动,牙龈无明显红肿。
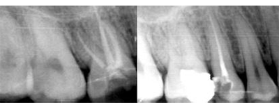
X线片显示:未根充,根尖区牙周膜略增宽。
诊断:慢性根尖周炎。
治疗计划:根管治疗+冠修复。
治疗效果:内外兼治,效果甚佳。

术前X光片 术后X光片
常规根管治疗:去旧充填物,寻及四根管口,根测,扩孔,NITI预备,冲洗,封药。一周后必兰糊剂+冷侧压根充。预约两周后16冠修复。
根管治疗后两周后:患者右上后牙上次治疗后无明显不适。
经检查发现:16暂封完好,不松动,牙龈无红肿。
与患者协商决定:行16石英纤维桩+氧化锆全瓷冠修复。
经过详细的检查和精确的方案制定,医生为田先生进行了根管治疗手术。两周后,田先生感觉良好,右上后牙疼痛消失,上次治疗后无明显不适。牙齿不松动,牙龈无红肿。为了确保根管治疗效果,后又进行了二氧化锆全瓷修复。

术前图片和预备、试桩图片

纤维桩粘接,堆核,牙体预备,排龈


由于二氧化锆全瓷冠采用的是计算机切削技术,因此制作完成后,其与牙体密合度高,更加坚固耐用,田先生表示:根管治疗牙齿不痛了,安装二氧化锆牙冠后也美观耐用,非常不错。