内容来源:石家庄苏亚美联臣精品美容牙科 2017-08-10
病例描述
患者:王女士
性别:女
年龄:33岁
初诊时间:2016年9月23日
主诉:要求美观前牙
现病史:患者自诉牙齿色泽发黄,要求美观牙齿但不愿大量磨牙,遂来我院寻求少磨牙的治疗方案。
既往史:患者身体状况良好,无药物过敏史等。
家族史:无家族遗传病史。
颌面部检查:面部对称,方圆形面型,开口度及开口型正常。双侧颞下颌关节对称、无压痛、开闭口无弹响。
口腔专科检查:全口牙色呈黄褐色斑点状,13-23颊向倾伴生长,12-22舌向内倾,33-43舌向内倾伴磨耗,咬合为深覆颌,牙周良好,微笑时露龈。
口腔辅助检查:曲面断层片:上下颌牙根、牙周及牙槽骨未见明显异常。
诊断:氟斑牙伴牙列不齐。
处置:初步沟通治疗方案,取上下颌诊断模型,采集照片及原始影像记录。通过美学分析、设计,结合诊断蜡型,与患者沟通,确定修复方案(患者要求先行11、21牙贴面修复),根据诊断蜡型,制作硅橡胶导板,在此指导下精确、微创预备基牙,排龈、取模、比色、3D打印、生产制作瓷贴面、试戴、选择粘接剂颜色,永久粘接,采集照片及录像。
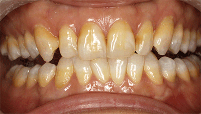
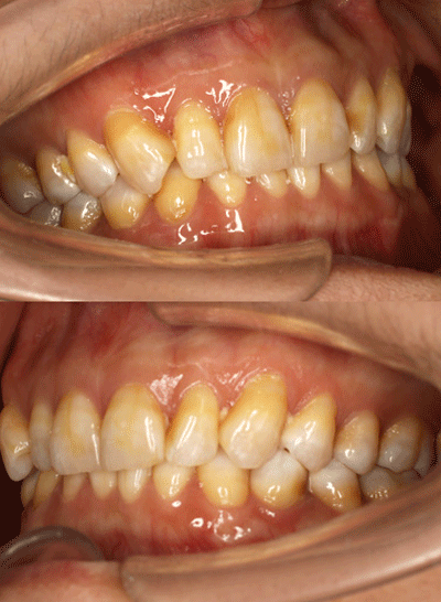
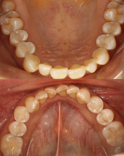
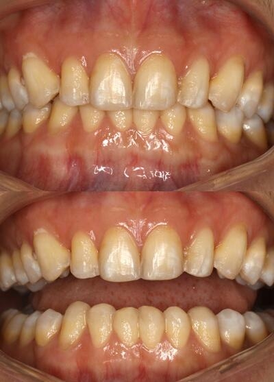
氟斑牙|瓷贴面修复——术前照片

术前正面照

术前侧面照

术前上下颌照
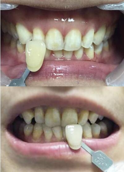
氟斑牙|瓷贴面修复——比基色牙

氟斑牙|瓷贴面修复——牙体预备

氟斑牙|瓷贴面修复——诊断蜡型制作

氟斑牙|瓷贴面修复——贴面制作

氟斑牙|瓷贴面修复——贴面粘接

贴面氢氟酸酸蚀

贴面瓷处理

牙面酸蚀

牙本质处理

牙釉质处理

牙面粘接
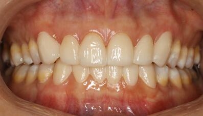
氟斑牙|瓷贴面修复——术后照片

术后开口器照

术后嘴唇照