内容来源:石家庄苏亚美联臣精品美容牙科 2015-07-27
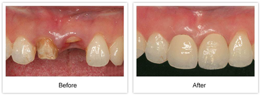
种植牙是的修复牙齿缺失的方式,特别是对于门牙这种比较重要的牙位,种植牙就显的尤为重要。种植牙被誉为人类的第三副牙齿,所以修复效果是非常好的。那么种植一颗门牙要多少钱?下面让美联臣植牙医生来详细介绍一下。
【种植一颗门牙价钱和很多外在因素有关】
美联臣口腔的植牙医生介绍,从种植牙的过程来讲,种植牙的成本就已经囊括了种植体、修复基台、手术和烤瓷冠。

1、种植体
不同医院制备的种植体可能有不同,种植体有多种类型,个人选择可能也不同,当然,种植体需要与骨质结构相融合,融合性越好,相应的在价格方面会有所反应。>>>美联臣种植牙那种?在线咨询
2、烤瓷冠
种植体成活以后上面要安装烤瓷冠,烤瓷冠种类很多。每个人可以根据自己的要求和经济条件选择,不同材质的烤瓷冠会反应出不同的价位。
3、医生
种植牙手术难点还是比较多的,选择专业技术更过硬的医生虽然价格较高,不过相较之下也有更好的预后。
需要特别指出的是,如果缺失的是单颗牙齿,做一颗烤瓷牙需要磨损周围的至少两颗牙齿,也就是做一颗种植牙和做3颗烤瓷牙相比,种植牙的费用不但不算高,并且对相邻牙齿没有损伤,这是牙齿种植的一大优势。>>>一颗种植牙要多少钱?在线咨询
4、手术条件
无论是消毒条件还是设备水平,正规专业的大医院与非正规小诊所比较,当然更加严格更加标准,同时种植牙的质量、医师的操作技术等方面都会有所差异。
【特别推荐:即刻种植牙技术】

美联臣口腔引进的即刻种植牙是利用数字影像诊断定位系统,利用电子摄像悬浮扫描原理,术前对患者口腔进行全方位扫描,精确计算出相关数据,再以微创的方式将患牙拔除,清创后立即植入人工牙根,具有即刻有效防止牙槽的吸收萎缩和病变,即刻镶复过度义齿,即刻恢复面容美观等功能,避免了普通种植技术来回多次折返医院就诊的麻烦。>>>即刻种植牙比烤瓷牙好在哪里?点击咨询

【做种植牙去哪里好—石家庄美联臣国际植牙安全可靠】
借鉴德式植牙服务,石家庄美联臣植牙掌握着世界先进的种植牙技术,并敢为人先的引入种植牙整体美学观。每一颗种植牙的形态、色泽、质感均要经过几十道工序的精细打磨、比色、上光,确保每颗牙齿都富有通透性和灵动性。毫不夸张地说,美联臣打造的种植牙不仅“种”得牢、“长”得牢,而且兼顾每位顾客的口腔环境,让种植后的牙齿与真牙一样的功能和美观效果。不光别人看不出真假,连自己的舌头都很难辨出真假。
【医生温馨提醒】美联臣国际植牙中心拥有精湛的技术团队,完备的就医环境,高度负责的工作态度,为每一位患者者量身打造康复方案。更多内容请点击在线咨询,一分钟预约挂号,医务人员将会与您一对一进行沟通。