内容来源:石家庄苏亚美联臣精品美容牙科 2015-06-01

什么是德国vita美容冠技术?
流行于欧美、日韩的明星美牙技术,采用德国vita比色技术,美国碧兰麻技术和3D数码定位技术相结合的美牙技术。对牙齿的大小、形态、颜色进行一个360°综合设计,只需7天来院2次,快速告别畸形牙、色素牙和缺失牙。具有美牙不拔牙、无疼痛、时间段、牙齿坚固、多年后牙齿不出现黑线等优点,从而达到长久的美牙效果,成为各国明星和上层人士美牙的选择。
哪些人适合做德国vita美容冠呢?
龅牙、虎牙、老鼠牙(个小牙)、地包天、前牙拥挤、前牙稀疏、牙列不齐、牙齿缺损、烤瓷失败、错过矫正黄金期的成年人以及重度四环素牙和氟斑牙等。






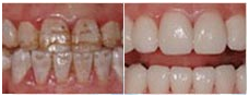
氟斑牙美容冠美白

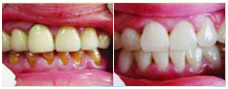
烤瓷牙失败修复
